【失敗したくない人必見】医療従事者が選ぶ No.1ペット酸素室レンタルと効果
ペットが呼吸が荒くて眠れない様子を見て不安を抱えている方や、自宅で何かしてあげられる方法がないか悩んでいる飼い主さんにとって呼吸の負担を大きく減らせる非常に有用なケアです。
でも酸素室なんて大掛かりな機械をわざわざ導入する必要はあるのでしょうか?
結論として、ペット用酸素室はシニア犬や心肺、呼吸器に疾患をかける犬にとって非常に効果的です。
実際に医療現場では、酸素投与だけで呼吸の苦しさや心肺機能の負担が和らぎ、短時間で呼吸状態が改善するケースを数えきれないほど経験しています。
この記事では循環器専門病院で働く現役医療従事者の私が、酸素室の効果だけでなく実際に安心して利用できるおすすめのレンタル会社を紹介します。
最後まで記事を読むことで、大切な家族の呼吸を少しでも楽にしてあげたい、病院に行く頻度を減らして自宅で落ち着ける時間を増やしたい飼い主さんの希望を叶えることができるでしょう。
【循環器病院の技師が語る】医療現場から考える犬の酸素ケアが重要なわけ

酸素が体にとってどれほど重要かは、循環器病院で働く放射線技師として日々の現場で痛感しています。
レントゲンやCT検査を行う患者の多くが、胸水や肺炎など呼吸機能を妨げる疾患を抱えており、十分な酸素を体内に取り込めない状態にあります。
このような患者にとって、高濃度の酸素を供給できる機器はまさに“命をつなぐ装置”と言えるほど重要な存在です。
そしてこれは、私たちが大切に育てているペットでも同じことが起こります。
犬も人と同じように肺で酸素を取り込むため、呼吸が弱っていると酸素不足に陥りやすくなります。
犬の呼吸を守るには「酸素環境を整えること」が非常に重要です。
ここからは、その理由を3つの視点からわかりやすく解説していきます。
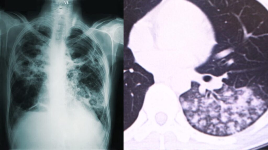
画像でわかる酸素不足・心肺機能の低下
生物は肺で血液中の二酸化炭素と待機中から取り込んだ酸素を交換することで、常に全身に新鮮な酸素を取り込んでいます。

ですが、上記画像のような肺では十分に酸素と二酸化炭素の交換が行われないため、健常者と同じ環境では酸素の摂取が不十分になってしまいます。

画像引用:https://www.shiranaga.jp/heart/
犬も人と同じように肺で酸素を吸収するため、肺が白く濁っている場合は同様に空気の交換がうまくできません。
この変化は画像で明確に確認できるため酸素不足の恐ろしさを視覚的に実感できます。
呼吸状態の悪い患者の撮影画像を見るたびに、早期に酸素環境を整える重要性を強く感じますね。
薬よりも即効性のある酸素と医療現場での実例
救急搬送されてきた状態の悪い患者が、酸素投与を開始しただけで数分後には状態が改善した姿を何度も見てきています。
薬剤投与が有効な場合もありますが、効果が出るまでに時間がかかることが多いのが実状です。
一方で酸素は不足している部分を直接補うため即効性が高く、犬の場合でも同じような改善が期待できます。
呼吸が不安定なときにこそ酸素を早く届けられる環境は非常に大きな価値を持ちます。
呼吸は数値より症状が物語る
医療現場では酸素飽和度の数値だけでなく呼吸の見た目も重視しており、以下のような行動・状態が患者に見られないか注意深く観察しています。
- 一分間の呼吸数(早すぎないか)
- 呼吸の深さ(浅い・苦しそう)
- チアノーゼの初見(唇や舌、歯茎の変化)
- 会話、意識レベルの変化
犬は元々痛みや苦しさを隠す習性があるため、飼い主が気づいたときには症状が進行していることが多いです。

気づいた時にはすでに重症化していることも、、、
そのため「少し苦しそうだな…」と感じた時点で、すぐに酸素を補える環境があるだけで悪化を大きく防ぐことができます。
酸素室レンタルが必要とされる医学的根拠3選

高濃度の酸素を供給できる酸素室レンタルが実際にペットに対してどれほどの効果を示しているのか、データをもとにしてまとめました。
酸素室の活用で以下のリスクへの対応を事前にすることができます。
- 心臓病を発症しやすい小型犬・シニア犬に対する呼吸症状の緩和
- 低酸素血症の予防策
- 呼吸器疾患治療後再発時の良好な呼吸管理
心臓病を発症しやすい小型犬・シニア犬への酸素ケアで呼吸症状を緩和できる
小型犬やシニア犬では、僧帽弁閉鎖不全症(MMVD)をはじめとする心臓病の発症率が高く、年齢が1歳増えるごとに心疾患のリスクが約1.5倍に増えると報告されています。
日本の保険登録犬299,555頭の解析でも、心血管疾患の年間診断率は2.1%、年齢ごとのオッズ比は1.5倍という結果が示されました。
つまり、高齢や小型犬は心臓病を発症しやすく、酸素を体に送り届ける力が弱くなるため、呼吸が苦しくなりやすいということです。
そのため自宅で酸素を補える酸素室の必要性が高まっています。
- https://www.jstage.jst.go.jp/article/jvms/78/2/78_15-0171/_article?utm_source=chatgpt.com
- https://pmc.ncbi.nlm.nih.gov/articles/PMC4785133/?utm_source=chatgpt.com
酸素療法・酸素補給が犬の低酸素血症を抑制している
犬に対して実施した酸素療法や高流量酸素補給(HFOT)による改善報告があります。
診断気管支鏡を受ける犬を対象とした研究では、高流量酸素補給(HFOT)を行った群は低酸素血症を経験した犬が「1/10」だったのに対し、従来の酸素投与では「5/10」でした。
- https://pmc.ncbi.nlm.nih.gov/articles/PMC11974253/?utm_source=chatgpt.com
この結果は、酸素補給が体内酸素量を確実に改善し、呼吸・循環の安定に役立つことを示しています。
つまり、病院だけでなく自宅で継続的に酸素を使える酸素室にも十分な効果が期待できます。
通院+自宅での酸素室によるケアで万全の体制が取れる
呼吸や循環の不安定な犬では、病院で酸素吸入や治療を受けても、帰宅後に再び呼吸が乱れるケースが少なくありません。
実際、呼吸器症状を主訴とした犬1,050頭を調べた研究では、小型犬や高齢犬で呼吸器疾患の発症オッズが非常に高いことがわかっています。
つまり、病院だけではカバーしきれない時間帯(夜間・帰宅後)に呼吸が悪化しやすいため、通院と併用できる自宅酸素環境が大きな助けとなります。
- https://pubmed.ncbi.nlm.nih.gov/36253879/
このように「病院で治療を受けた後、自宅での呼吸管理が追いつかない」状況が現実的に存在するため、通院と併用して自宅で酸素を補える環境=「酸素室レンタル」が補完的に重要になっているのです。
酸素室を導入すると何が変わる?呼吸が楽になる理由と得られるメリット

ペット用酸素室の重要性や必要性については実際の医療現場や医学的根拠理解をもとにしてかなり伝えられたと思います。
ここからは酸素室を活用することで得られる具体的な効果5つを紹介していきます。
呼吸が安定しやすくなる
苦しそうに速い呼吸をする姿を見ると、飼い主は胸が締めつけられるような気持ちになります。
酸素室を使うことで吸い込む酸素が増え、体が無理に呼吸を早める必要がなくなるため、呼吸の乱れが落ち着きやすくなります。
呼吸が整って穏やかな表情を見せてくれると、飼い主もほっとした気持ちで見守れるようになるでしょう。
夜間の咳・不安行動が減り、睡眠の質が上がる
夜になるとペットの咳が止まらず、眠れずに歩き回る姿は本当に辛いものです。
心臓病や呼吸器の病気がある犬では、横になると胸部の血液量が増えて肺がうっ血しやすくなり、さらに腹部の臓器が横隔膜を押し上げることで呼吸がしづらくなるため、夜間に症状が悪化しやすいのです。

救急患者も夜間に来ることが多いんだよ!
酸素室で酸素濃度が安定すると体が呼吸の負担から解放され、咳や不安行動が和らぎ、より深く眠りやすくなります。
落ち着いて眠る姿を見ると、飼い主もようやく安心して休むことができるでしょう。
通院頻度・移動時のストレスが減る
呼吸が乱れるたびに動物病院へ向かうのは、犬にとっても飼い主にとっても大きな負担です。
自宅に酸素室があれば軽い呼吸悪化なら家で落ち着かせることができ、慌てて病院へ行く回数を大きく減らせます。
通院回数が減ることで犬のストレスも少なくなり、自宅で飼い主と一緒に過ごしつつ安心して見守れる時間が増えます。

家でゆったり過ごせると落ち着くよね!
症状の急変に備える“保険のような安心感”を得られる
心臓病や呼吸器の持病がある犬は、ある日突然呼吸が苦しくなることがあります。
酸素室が家にあるだけで急変する前から予防的に高濃度の酸素を届けることができるため、急激な悪化を防ぐ大きな助けになります。
備えがあるという安心感は、飼い主の日々の不安を大きく和らげてくれるでしょう。
犬がリラックスしやすくなり、穏やかに過ごせる
十分な量の酸素が全身にしっかり届くようになると、呼吸と心拍が安定し、体の緊張が自然とゆるみます。
酸素室に一度慣れることができれば、高濃度な酸素による快適で、安心できる居場所として犬が自然に受け入れられることが多いです。
ゆったりした表情が増えると、飼い主も“楽になってくれた”と心から感じられるでしょう。

医療従事者がおすすめする酸素室レンタルは O2 Charge(オーツーチャージ)
結論、心肺機能や呼吸症状への対応策としてペット用酸素室は大きな恩恵をみなさんにもたらしてくれます。
そして、現役医療従事者の私が数ある中でぜひともおすすめしたい酸素室レンタルは、O2 Charge(オーツーチャージ)です。
料金、酸素濃度の安定性、静音性、使いやすさ、サポート体制のどれをとってもバランスが良く、初めて酸素室を導入する飼い主でも安心して利用できる点が大きな理由です。
ここからは、O2 Charge(オーツーチャージ)の魅力の中でも とくに押さえておきたい3つのポイントをわかりやすく紹介します。
- 初期費用0円で始められる
- 24時間常に万全のサポート体制がある
- 期間限定キャンペーンで5万円相当の酸素室ケージがもらえる
初期費用0円で始められる
酸素室を導入するときに多くの飼い主が不安に感じるのは「最初にどれだけ費用がかかるのか」という点です。
ですが、心配は入りません!
O2 Charge(オーツーチャージ)は 初期費用が一切かからず、月額料金のみで利用をスタートできる のが大きな特徴です。
必要なケアを“費用を理由に先延ばしにしなくていい”という安心は、呼吸が不安定になりやすい心臓病や呼吸器疾患の犬にとって特に重要です。
「もっと早くに使ってあげればよかった…」と後悔しないためにも、早い段階で導入できる仕組みは大きなメリットといえます。
さらにレンタル注文後の 酸素室配送料が無料 であることも、初めての導入を後押ししてくれます。

必要経費は月額料金だけ!
24時間常に万全のサポート体制がある
呼吸が悪くなりやすいのは夜間や休日など、病院へすぐに行けない時間帯であることが多いです。
O2 Charge(オーツーチャージ)は24時間いつでも専門スタッフに相談できる体制が整っているため、酸素室の使い方についての相談や機械トラブルが起きた際もすぐに対応してもらえます。
「もしものときに自分たちだけじゃない」という安心感は、呼吸が不安定な犬を見守るご家庭にとって非常に頼もしい存在です。

困った時にいつでも連絡が取れると心強いね!
期間限定キャンペーンで5万円相当の酸素室ケージがもらえる
現在実施中のキャンペーンでは、酸素室に必須となる専用ケージ(約5万円相当)を無料で受け取ることができます!
他社でレンタルする場合は、初期費用・月額費用に加えてこの酸素室ケージの購入が必要になりますが、O2 Charge(オーツーチャージ)はその必要が一切ありません。
専用ケージが無料でもらえることで、初心者でも“効果の実感しやすい環境”をそのまま作れる点は非常に大きなメリットです。
ただし、この特典は12カ月契約が条件のため、長期的にケアが必要な犬にとって特に価値が高く、費用面でも負担が大幅に軽減されます。

酸素室ケージが無料でもらえるのはO2 Charge(オーツーチャージ)だけ!
O2 Charge(オーツーチャージ)レンタル時の注意点

O2 Charge(オーツーチャージ)は使いやすさと初心者にも手頃な価格帯、万全のサポート面が充実したサービスです。
ただし、より安心して利用するために、事前に知っておくべきポイントがいくつかあります。
「知らなかった…」を防ぐために、以下の3点は必ず確認しておきましょう。
無料ケージは「12カ月以上の契約」が条件
O2 Charge(オーツーチャージ)でもらえる専用ケージ(約5万円相当)は、12カ月以上の契約が条件になっています。
長期契約と聞くとハードルに感じるかもしれませんが、心臓病や呼吸器疾患を抱えた犬の多くは半年〜数年単位でケアが必要になるケースが非常に多いです。
そのため実際には、長期利用の相性が良く専用ケージを無料で受け取れることは費用面で大きなメリットになります。
専用ケージは密閉性に優れており、酸素濃度を安定させるためには欠かせない設備です。
犬が慣れるまで時間がかかる場合がある
すべての犬が最初から酸素室を受け入れるわけではなく、慣れるまで少し時間が必要なことがあります。
これは酸素室の問題ではなく、新しい環境に対する犬の性格や不安の強さによるものです。
しかし、ほとんどの犬は以下のようなステップで自然と慣れていきます。
- 普段使っている毛布やクッションを中に入れる
- 最初は扉を開けたまま短時間だけ過ごさせる
- 飼い主が近くにいる状態で入れてあげる
こうした工夫をすることで、犬は「ここは安心して落ち着ける場所」と理解しやすくなり、呼吸が整うと表情や姿勢にもリラックスの変化が見られます。
酸素室は治療ではなく“補助ケア”
酸素室は呼吸を楽にするための大切なケアですが、心臓病や肺の病気そのものを治すものではありません。
薬や診察を続けながら、必要なタイミングで呼吸をサポートする補助ケアとして使うことで、より高い効果が期待できます。
「治す」ではなく「補助する」という認識で使用すると自宅ケアの質が大きく向上し、夜間の急変や呼吸の悪化に対しても落ち着いて対応できるようになります。
O2 Charge(オーツーチャージ)は自宅でできる呼吸ケアの最適解

愛犬の呼吸が苦しそうなとき、飼い主が感じる不安は計り知れません。
酸素室はそんな不安を少しでも減らし、呼吸を楽にしてあげられる“自宅でできる最も効果的なケア”です。
この記事で紹介した通り、酸素は薬より早く効果を感じられることがあり、夜間の咳や不安行動の軽減、急変への備えなど、多くのメリットが得られます。
その中でも、 O2 Charge(オーツーチャージ)は初期費用ゼロ・24時間サポート・専用ケージ無料と、初心者でも安心して始められる条件がそろっています。
愛犬の呼吸が不安定な“もしも”の瞬間は、ある日突然やってきます。
そのときに「あのとき準備しておけばよかった」と後悔しないためにも、今できる備えを整えておくことが大切です。
まずは O2 Charge(オーツーチャージ)の詳細を確認して、あなたの大切な家族を守る一歩を踏み出してみてください。
また、比較検討したい方のために 他社のペット酸素室を徹底比較した記事 も用意しています。
ぜひこちらの記事も併せてご覧ください!

